本文へスキップ

郡山市の歯医者・歯科・インプラントなら痛みに配慮した治療のドリームデンタルクリニック。 トータルで診る治療。郡山市の歯医者・歯科・インプラントなら当院へ

電話でのご予約・お問い合わせTEL.024-954-9850

〒963-8024 郡山市朝日1−7−1

オールオン4について

イメージ画像

オールオン4とは

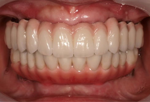
オールオン4症例

インプラント4本で12本の歯を支える治療法です。
インプラントの数を減らし料金も抑えることができます。
また手術当日に歯が入るので直ぐに噛むことができます。

オールオン4イメージ図

オールオン4のメリット

@費用が抑えられる
 歯の抜けた場所に1本ずつ埋め込むと多くのインプラントを使用するため高額になります。
その点オールオン4はインプラント4本で済むため費用が安くなります。

A体への負担が少ない
インプラントを埋め込む穴の数が少ないため、体への負担が軽減されます。
高齢者でも治療を行うことができます。

B見た目がきれい
歯並びが良く、歯の色も好みの色を選べるので見た目がきれいになります。

C発音は会話がしやすい
顎の骨によって人工歯が固定されるため、違和感が少なく発音でき自然な会話ができるようになります。

D骨の少ないケースでも適応できる
骨の厚みのある部分を選んでインプラントを埋入できるため、顎の骨が少ない方も適応可能。

E外れない(固定式)
 総入れ歯は歯茎に付いているだけなのでパカパカ外れることがあります。
その点オールオン4はネジにより固定されているため外れる心配がありません。
一度手術を受ければ着脱に関する煩わしさから解放されます。


オールオン4のデメリット

@治療費が高額になる
 オールオン4を始めインプラント治療は保険適応の治療ではありません。
通常のインプラントよりもトータルでは安くなりますが、とにかく安く抑えたいという方には向いていません。有用性や価格を総合的に判断して決めてください。

A残っている歯を抜歯する必要がある
オールオン4は全ての歯をインプラント4本で支えるため歯が残っていると施術できません。虫歯や歯周病で傷んでいる歯は抜歯を行う必要があります。

B治療できる医療機関が限られる
オールオン4を提供できる医療機関は多くありません。通常のインプラントに比べ技術習得や経験に時間がかかります。また医院設備も高度なものになるので事前に確認する必要があります。

C手術を受けられない場合もある
顎の骨や体の状態次第では手術を受けられない場合があります。顎の骨が少ない症例では骨移植を併用することがあります。


オールオン4の寿命

オールオン4は一度手術すれば10年以上は使用できるとされています。
ただしメンテナンスを怠るとインプラント周囲炎になり数年で寿命を迎えることになります。
日頃のケアを必ず行っていきましょう。


オールオン4治療の標準的な流れ

  問診・カウンセリング

問診・カウンセリング口腔内検査、お口の悩み相談を行います。

     ↓ 
  精密検査

精密検査CT撮影、口腔内写真、型取り。

     ↓
  診 断

診断治療のプランや治療期間、費用を提示します。

     ↓
  契 約

契約納得していただいた上でサインを頂きます。

     ↓
  手術当日

手術当日静脈内鎮静麻酔法を併用した場合は寝ている間に終了します。

     ↓
  本歯セット

手術当日仮歯を調整して問題がない時点で本歯に移行します。

     ↓
  メンテナンス

メンテナンスアウターケアが快適な口腔内を維持します。


オールオン4説明動画


オールオン4治療の料金


【料金】 2,500,000円 〜 3,000,000円
片顎、骨の状態や静脈内鎮静麻酔併用によって変化します。


当院の治療例

オールオン4症例1

オールオン4症例2

お口のトラブルで困っていませんか?

一生快適な食生活が送れますように